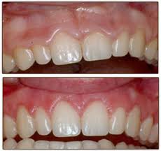
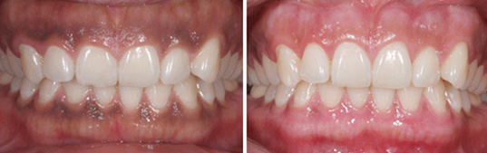
Κάποιες φορές τα ούλα μας δεν βρίσκονται στην ‘σωστή’ θέση ως προς τα δόντια μας. Μπορεί να τα καλύπτουν υπερβολικά ώστε τα δόντια να φαίνονται κοντά ή να είναι υπερπλαστικά λόγω λήψης φαρμάκων κ.τ.λ. ή να έχουν σκούρες κηλίδες από εναπόθεση μελανίνης.
Αυτό μπορούμε εύκολα και ανώδυνα να το διορθώσουμε στο ιατρείο μας (σε πολλές περιπτώσεις μάλιστα χωρίς αναισθησία) με την χρήση των laser που διαθέτουμε. Αιμοραγία δεν υπάρχει και δύσκολα καταλαβαίνει κανείς ότι έγινε κάποια ουλοπλαστική επέμβαση



Μπορούμε μάλιστα να διορθώσουμε το σχήμα των ούλων ενός ασθενή πριν γίνει κάποια μεγάλη αισθητική αποκατάσταση όπως π.χ. τοποθέτηση όψεων πορσελάνης ώστε να έχουμε ένα ομορφότερο περίγραμμα ούλων και δοντιών στο τελικό αποτέλεσμα.


