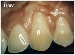
Οι αποκαλυμμένες ρίζες των δοντιών είναι αποτέλεσμα υφίζησης του ούλου (όταν το ούλο γύρω από ένα δόντι ‘πέφτει’) λόγω διαφόρων αιτιών όπως κακό βούρτσισμα, περιοδοντική νόσο κ.α.
Πέρα από την αντιαισθητική εικόνα που παρουσιάζεται, ο οργανισμός χάνει μια φυσική άμυνα έναντι στα βακτήρια και σε τραυματισμούς, η ρίζα του δοντιού είναι πολύ πιο ευαίσθητη στην τερηδόνα από ότι η αδαμαντίνη (σμάλτο) των δοντιών και τα δόντια με υφίζηση ούλων είναι πολύ ευαίσθητα στα κρύα και ζεστά ερεθίσματα.
Το σημαντικό είναι να αναγνωρίσουμε τις αιτίες που δημιουργούν την υφίζηση και να τις αντιμετωπίσουμε.
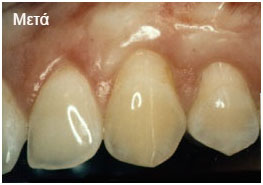
Μετά, θα γίνει μιά επέμβαση κατά την οποία μπορεί να παρθεί μόσχευμα μαλακού ιστού από τον ουρανίσκο και να μεταφερθεί στην πάσχουσα περιοχή όπου θα καλύψει την υφίζηση.

Η επέμβαση αυτή μπορεί να γίνει σε πολλά ούλα αν έχουν πρόβλημα και έτσι να κατορθώσουμε να δημιουργήσουμε μιά συμμετρική, αισθητική γραμμή ούλων.
Αν ο ασθενής δεν θέλει ή δεν ενδείκνυται, μπορούμε να χρησιμοποιήσουμε ξένο μόσχευμα και να μην πάρουμε από τον ουρανίσκο.


