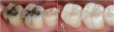
Στις μέρες μας, ολοένα και περισσότεροι ασθενείς επιλέγουν τα σφραγίσματά τους να γίνονται στο χρώμα του δοντιού.

Το υλικό που χρησιμοποιούμε σε αυτές τις περιπτώσεις είναι η σύνθετη ρητίνη που μας επιτρέπει με τους πολλούς χρωματισμούς που έχει, να δημιουργήσουμε ‘αόρατα σφραγίσματα’.

images (3)

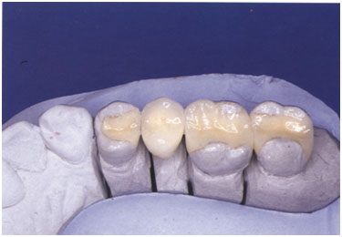
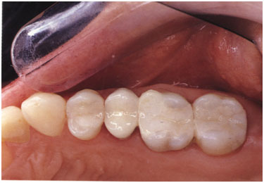
Αντί για αποκατάσταση με ρητίνη κατευθείαν στο στόμα, μπορούμε να φτιάξουμε και σφράγισμα στο εργαστήριο από ρητίνη ή πορσελάνη (ένθετο), λύση που είναι πιο ανθεκτική στο χρόνο.

Ένα επιπλέον πλεονέκτημα έναντι των απλών σφραγισμάτων είναι ότι με τα ένθετα δεν έχουμε συρρίκνωση του υλικού όπως με τη ρητίνη όταν πήζει ενδοστοματικά οπότε και δημιουργούνται μικροκενά.

Όταν όμως το δόντι μας είναι πολύ κατεστραμμένο (δεν μπορεί πλέον να στηρίξει το σφράγισμα) και θέλουμε την πιο ανθεκτική και αισθητική ταυτόχρονα λύση χωρίς να καταφύγουμε στην λύση της στεφάνης, τότε ενδείκνυται η κατασκευή επενθέτου από ρητίνη αλλά κατεξοχήν από πορσελάνη.

Οι κατασκευές αυτές είναι σαν μεγάλα σφραγίσματα που φτιάχνονται στο εργαστήριο και συγκολλιούνται πάνω στα δόντια.

poulios

ΔΙΑΔΙΚΑΣΙΑ

poulios1poulios2poulios3poulios4

Το πλεονέκτημα της μεθόδου αποκατάστασης με επένθετα είναι ότι το δόντι γλυτώνει την στεφάνη και κατ΄επέκταση την πιθανή ενδοδοντική θεραπεία και άξονα που θα χρειαζόταν για να στηρίξει την στεφάνη. Έτσι διατηρούμε την οδοντική ουσία και ζωτικότητα του δοντιού.